article/comments
article/share
Haberler
Tarihin En Korkunç Hastalığı Geri Döndü: COVID'den Daha Ölümcül Olabilir!

Tarihin En Korkunç Hastalığı Geri Döndü: COVID'den Daha Ölümcül Olabilir!

Amerika Birleşik Devletleri'nde bir dönem 'Beyaz Veba' olarak anılan tüberküloz vakaları son on yılın zirvesine ulaştı. Sağlık uzmanları, antibiyotiklere dirençli yeni türlerin COVID-19'dan daha yüksek bir ölüm riski taşıdığı konusunda acil uyarıda bulunuyor.

Kaynak: https://nypost.com/2026/03/25/health/...
İçeriğin Devamı Aşağıda chevron-right-grey
Reklam

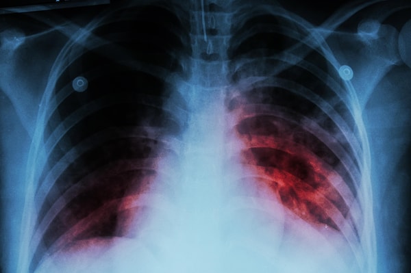
Amerika Birleşik Devletleri, tıp dünyasının geçmişte kaldığını düşündüğü "Beyaz Veba" yani tüberkülozun (verem) korkutucu dönüşüyle sarsılıyor.

Amerika Birleşik Devletleri, tıp dünyasının geçmişte kaldığını düşündüğü "Beyaz Veba" yani tüberkülozun (verem) korkutucu dönüşüyle sarsılıyor.

Hastalık Kontrol ve Önleme Merkezleri (CDC) tarafından paylaşılan son veriler, vaka sayılarının son 10 yılın en yüksek seviyesine ulaştığını kanıtlıyor. Uzmanlar, bu artışın sadece bir rakamdan ibaret olmadığını, hastalığın artık mevcut ilaçlara karşı çok daha dirençli ve yıkıcı bir forma büründüğünü vurguluyor.

Tarihte kurbanlarını aşırı solgun bıraktığı için bu isimle anılan tüberküloz, akciğerleri hedef alarak vücudu adeta içten içe tüketiyor. Dr. Robert Redfield gibi önemli isimler, tüberkülozun doğru tedavi edilmediği senaryolarda koronavirüsten çok daha yüksek bir öldürme oranına sahip olduğuna dikkat çekiyor. Modern varyantların tedaviye yanıt vermemesi, sağlık otoritelerini küresel bir kriz ihtimaline karşı harekete geçirmiş durumda.

Tüberküloz vakaları neden arttı?

Tüberküloz vakaları neden arttı?

Bu tehlikeli geri dönüşün arkasında ise birden fazla kritik neden yatıyor. COVID-19 pandemisi döneminde sağlık kaynaklarının tamamen virüse yönelmesi, verem taramalarının ve rutin kontrollerin aksamasına yol açtı. Bunun yanı sıra artan küresel hareketlilik, bağışıklık sistemini zayıflatan kronik stres ve mevcut antibiyotiklerin etkisiz kaldığı 'MDR-TB' olarak bilinen dirençli türlerin yayılması, salgının fitilini ateşleyen temel unsurlar olarak görülüyor.

Tüberküloz belirtileri neler?

Tüberküloz belirtileri neler?

Halk sağlığını korumak adına yetkililer, belirtiler konusunda her zamankinden daha dikkatli olunması gerektiğini hatırlatıyor. İki haftayı geçen inatçı öksürük, göğüs bölgesinde hissedilen ağrılar, kan tükürme, gece terlemeleri ve bitmek bilmeyen yorgunluk tüberkülozun en net habercileri arasında yer alıyor. Erken teşhisin hem bireysel kurtuluş hem de toplumsal yayılımın durdurulması için tek çare olduğu belirtilirken, hükümetlerin riskli bölgelerde geniş çaplı tarama hazırlığı içinde olduğu bildiriliyor.

Yorumlar ve Emojiler Aşağıda chevron-right-grey
Reklam

Keşfet ile ziyaret ettiğin tüm kategorileri tek akışta gör!

category/test-white Test
category/gundem-white Gündem
category/magazin-white Magazin
category/video-white Video
2007 yılında başladı medya sektörü maceram, 2009 yılında İstanbul Aydın Üniversitesi İnternet Gazeteciliği ve Yayıncılığı bölümünden mezun olunca daha da perçinlendi. Türkiye’nin en büyük medya kuruluşlarında stajyer, editör, haber müdürü ve danışmanlık gibi görevler aldıktan sonra 2022 yılından bu yana Onedio’dayım. ‘Eşik bekçiliğidir’ diye ustalarımızdan öğrendiğimiz gazeteciliğin ‘etik’ değerlerine inanarak ve sadık kalarak Türkiye ve dünya gündemini en sıcak haliyle size iletmeye çalışıyorum.
Tüm içerikleri
right-dark
category/eglence BU İÇERİĞE EMOJİYLE TEPKİ VER!
2
1
0
0
0
0
0
Yorumlar Aşağıda chevron-right-grey
Reklam
ONEDİO ÜYELERİ NE DİYOR?
Yorum Yazın